Τα τελευταία χρόνια, το άγχος και οι πιέσεις της σύγχρονης ζωής έχουν οδηγήσει περισσότερους ανθρώπους από ποτέ να αγωνίζονται με ζητήματα ψυχικής υγείας. Ακόμη και... Συνέχεια ανάγνωσης
Το λίπος της κοιλιάς είναι ο εφιάλτης των περισσότερων διαιτολόγων. Δυστυχώς – όπως ίσως ήδη γνωρίζετε – είναι ένα από τα πιο δύσκολα σημεία για... Συνέχεια ανάγνωσης
Οι επιστήμονες από καιρό πιστεύουν ότι υπάρχει αμφίδρομη επικοινωνία μεταξύ του εντέρου και του εγκεφάλου. Στην πραγματικότητα, αδιάσειστα στοιχεία υποδηλώνουν ότι η μικροβιακός ιστός –... Συνέχεια ανάγνωσης
Κοντά στα τέλη του 2018, αναφέρθηκαν αρκετές σημαντικές ανακλήσεις φαρμάκων που διεξήχθησαν από την αμερικανική Υπηρεσία Τροφίμων και Φαρμάκων (FDA). Στην ανάκληση συμπεριλήφθηκαν μολυσμένες παρτίδες... Συνέχεια ανάγνωσης
Πολλές διαφημίσεις παροτρύνουν να πίνουμε γάλα γιατί κάνει καλό στην υγεία . Και ενώ η στρατηγική μάρκετινγκ είναι αρκετά μεγαλοφυής, είναι ατυχές το γεγονός ότι... Συνέχεια ανάγνωσης
Η κορτιζόλη είναι μία ορμόνη με ιδιαίτερα κακή φήμη. Όχι εντελώς αδικαιολόγητα. Θεωρείται η κατεξοχήν ορμόνη του στρες. Σε περίπτωση που το στρες είναι στιγμιαίο... Συνέχεια ανάγνωσης
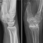
Η οστεοπόρωση – στην οποία τα οστά γίνονται όλο και πιο εύθραυστα και επιρρεπή σε θραύση – επηρεάζει το 16% των Αμερικανών ενηλίκων ηλικίας άνω... Συνέχεια ανάγνωσης
Μελέτη αποκαλύπτει: Τα αρνητικά συναισθήματα βρέθηκαν να αυξάνουν τη φλεγμονή Όλοι έχουμε ακούσει για τη σχέση μεταξύ χρόνιου στρες και κακής σωματικής υγείας. Αλλά τώρα,... Συνέχεια ανάγνωσης
Η υψηλή πίεση του αίματος, γνωστή και ως «σιωπηλός δολοφόνος», επηρεάζει πάνω από 77 εκατομμύρια Αμερικανούς, σύμφωνα με τα τελευταία στοιχεία των Κέντρων Ελέγχου και... Συνέχεια ανάγνωσης
Φαίνεται ότι ένα πρόσθετο τροφίμων θέτει σε κίνδυνο την υγεία της κοινωνίας μας. Φυσικά, αν ζητούσαμε από τους περισσότερους εμπειρογνώμονες της βιομηχανίας τροφίμων, θα έλεγαν... Συνέχεια ανάγνωσης
Χρησιμοποιούμε cookies για να σας προσφέρουμε την καλύτερη δυνατή εμπειρία στη σελίδα μας. Εάν συνεχίσετε να χρησιμοποιείτε τη σελίδα, θα υποθέσουμε πως είστε ικανοποιημένοι με αυτό.ΕντάξειΔιαβάστε περισσότερα